คำถามที่พบบ่อย ?
การจัดฟัน invisalign หรือจัดฟันใส ราคาจะขึ้นอยู่กับรูปแบบของการจัดฟัน ซึ่งจัดฟันแบบใสราคา invisalign เป็นการจัดฟันที่เครื่องมือจัดฟันสามารถถอดเข้า-ออกได้ เครื่องมือมีลักษณะใส การจัดฟันใสนี้แบ่งออกเป็น 6 รูปแบบคือ
- จัดฟันใส invisalign Go ราคา 79,000 บาท
- จัดฟันใส invisalign Express มีจำนวนชุดเครื่องมือจัดฟัน ไม่เกิน 7 ชุด ราคา 89,000 บาท
- จัดฟันใส invisalign Essential มีจำนวนชุดเครื่องมือจัดฟัน ไม่เกิน 20 ชุด ราคา 90,000 บาท
- จัดฟันใส invisalign Lite มีจำนวนชุดเครื่องจัดฟัน ไม่เกิน 14 ชุด ราคา 135,000 บาท
- จัดฟันใส invisalign Moderate มีจำนวนชุดเครื่องมือ ไม่เกิน 26 ชุด ราคา 160,000 บาท
- จัดฟันใส invisalign Comprehensive 3 - 5 ปี* มีจำนวนชึดเครื่องมือ ตั้งแต่ 27 ชุดขึ้นไป ไม่จำกัดจำนวนราคา 170,000 - 180,000 บาท
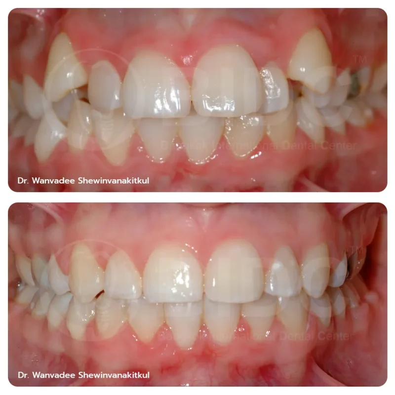
การจัดฟันใสเป็นการจัดระเบียบฟันที่มีปัญหาฟันซ้อนเก ฟันห่าง ฟันยื่น ฟันเหยิน ซึ่งปัญหาเหล่านี้ทำให้การสบฟันผิดปกติ การจัดฟันใสจะช่วยให้การเรียงตัวเป็นระเบียบสวยงาม และสามารถบดเคี้ยวอาหารได้อย่างมีคุณภาพ หลังจากจัดฟันหรือดัดฟันเสร็จ รูปหน้าจะมีการเปลี่ยนแปลงไปในทางที่ดีขึ้น การจัดฟันจะทำให้หน้าเรียว ขึ้นหรือไม่ ขึ้นอยู่กับลักษณะฟันและใบหน้าของคนไข้แต่ละราย ผลลัพธ์ของการรักษาย่อมมีความแตกต่างกัน ดหากต้องการจัดฟันเพื่อช่วยให้ใบหน้าเรียวขึ้น ควรปรึกษาทันตแพทย์เฉพาะทางที่มีความเชี่ยวชาญ เพื่อวางแผนการรักษาอย่างถูกต้องตามหลักการของทันตแพทย์ เพื่อให้ได้รอยยิ้มที่สวยงามและสามารถรับประทานอาหารได้อย่างมีความสุข
การจัดฟันใส หรือการจัดฟัน invisalign เป็นการจัดฟันนวัตกรรมใหม่ ที่เครื่องมือจัดฟันมีลักษณะใส คนไข้สามารถถอดเข้า-ออกเองได้ เครื่องมือจัดฟันใสถูกออกแบบและวางแผนการรักษาโดยทันตแพทย์ผ่านโปรแกรมจัดฟัน invisalign ในระบบคอมพิวเตอร์ และผลิตเครื่องมือจัดฟันโดยบริษัท invisalign ประเทศอเมริกา โดยเครื่องมือจัดฟันจะผลิตขึ้นเฉพาะบุคคลนั้นๆ ทำให้คนไข้สามารถใส่ได้พอดี สบาย มองไม่เห็น และสามารถถอดออกได้ เวลาที่ต้องพบปะผู้คน นำเสนองาน หรือผู้ที่ทำงานประชาสัมพันธ์ ผู้บริหาร ผู้ที่ทำงานในวงการบันเทิง และเหมาะสำหรับผู้ที่ต้องการจัดฟันแต่ไม่อยากติดเครื่องมือจัดฟัน ด้วยเหตุนี้จึงทำให้การจัดฟันใสนี้ราคาสูงกว่าการจัดฟันทั่วไปค่ะ
ก่อนที่จะเลือกสถานที่จัดฟันควรตรวจสอบอะไรบ้าง
- คุณสมบัติของทันตแพทย์ ต้องจบเฉพาะทางจัดฟัน และการจัดฟันแบบใส
- การจัดฟันใส invisalign ที่ผลิตเครื่องมือจากศูนย์ invisalign โดยตรง
- ศูนย์ทันตกรรมที่มีความน่าเชื่อถือ สามารถดูแลได้ตลอดระยะเวลาที่จัดฟัน
- ศูนย์ทันตกรรมที่สะอาด ปลอดภัย มีมาตรฐาน
- การเดินทางสะดวกเพราะการจัดฟันใสจะมาพบทันตแพทย์เป็นประจำ 2-3 เดือน/ครั้ง

